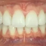
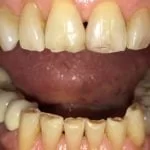
Crooked, cracked or discoloured teeth can be transformed with the variety of cosmetic dentistry procedures available at Kent Smile Studio in Maidstone & Chatham.
There are various ways a stunning smile can be achieved, and we strive to provide you with the confidence you deserve. We are always happy to give you all the necessary information you may require. To get an accurate idea of your requirements, we suggest you book a consultation to discuss your thoughts, feelings and concerns regarding your smile.
Your smile makeover plan may include a wide range of different treatments. In some cases, teeth-whitening is enough to improve the appearance of discoloured but otherwise healthy and even teeth. In other cases, porcelain or composite veneers may be a better choice.
During your initial consultation, we will spend time getting to know your requirements for your smile. We will examine your teeth, document the process (the ‘before and after’) and discuss the various treatment options with you. To make sure your recommendations and treatment suggestions are understood, we will answer any questions you may have regarding any aspect of the process.
To transform the aesthetics of your teeth, we offer various treatments including:
"Dear Dr Dattani, I am so thrilled with the outcome of my recent dental work I wanted to write and express my thanks to you and the talented technician who…"
"Thank you for my lovely new set of teeth, fantastic treatment and great staff. Thank you to Senal for constantly trying to keep me smiling when I really wanted to…"
"Thanks due to a fantastic staff who put me at ease. I am now NOT a nervous patient but am addicted to the dentist! Thank you all for giving me…"
"Guess who? Just a few words to all the guys. Thanks, you’re all very friendly and have given me my smile back, so again thank you. Well what can I…"
"Thanks Dr Dattani for sorting out my fillings, it’s the best treatment I have ever received by a dentist and I’m very, very happy. Money well spent!"






















“Would thoroughly recommend Kent Smile Studio. So professional and very organised with current COVID procedures! Went last week for consultation regarding smile makeover, the information and advice was...”brilliant and informative. Had a large back tooth out today, the dentist, Viraj Menon, made me feel very relaxed and confident in him, all done, no issues and pain free. Now looking forward to starting the makeover.Thank you all at Kent Smile.”
“An excellent job from the team at Kent smile studio. I now have a shiny new perfect molar tooth once again back in place.”
“Always a wonderful service at Kent Smile! Thanks to Louise, Sylvia and the whole team.”
“Excellent service and care all round on every appointment. Highly recommend Kent Smile Studio Chatham.”
“I decided to visit Kent smile in walderslade village a few months ago and I can honestly say I was very welcomed from the 1st visit Dr viral menon made...”me feel safe and very confident about my present and upcoming procedures and treatments im looking forward to having a great smile! All staff are excellent and very friendly I would 100% recommend kent smile studio me personally I shall go no where else! Thank you so much.”
“Ever since I have been going to the Kent Smile Studio I have found all of the personel to be kind, thoughtful and and to work and act professionally and...”to a high standard. I have always found the premises to be spotlessly clean. I have recommended my friends and family to the service.”
“Following too many years of neglect I had to have some remedial dental treatment in order that I could smile at my daughters wedding without being embarrassed. I tried The...”Kent Smile Studio and my new dentist Xin Ng has been absolutely fantastic, every visit to the dentist is now a joy. Xin explained clearly what options I had and carried out the dental work to my absolute satisfaction. I now have two front teeth that appear natural and a smile I’m proud of!”
“My whole family have been visiting Smile studio for many years. The service is excellent and the staff are all very friendly and professional.”
“My grandson is really happy about his teeth he can smile with confidence and pride now thanks to you. 100% recommended .”
“First class service from very professional team who did everything to put me at ease and make what could have been a stressful experience into an easy one.Smiles all round.”
“Smile Makers is an amazing practice with amazing people. I couldn't praise the team more highly; very friendly and very professional. I have total confidence in every single one of them.From...”as soon as you walk into reception, and meet either Sarah or Maxine you feel welcomed and put at ease.I see Hayley (Hygienist) on a regular basis, and she is extremely gentle and thorough with her treatment.Dr Tarki always makes me feel welcome, as well as his nurses Deborah, Georgia and Hayley. They take their time with whatever treatment I am having done, explaining it in great detail, and its always performed to the highest qualityThe way the team are, it makes me look forward to going back. I recommend them highly.”
“Smile Maker has impressed. Maxine was exceptional in her approach, communications and professionalism to ensure an appointment with the specialist dentist at the earliest opportunity.”
“SmileMaker are fantastic. Dr Amir Tarki is a great dentist. All work done has been to a high standard. I would highly recommend using them.”
“First visit yesterday, fantastic experience, will definitely be going back/becoming a regular... Lovely, considerate Receptionist, making sure the surgery is Covid-safe and reassuring clients. My Hygenist, Hayley, was excellent -...”super gentle and explained everything as we went - BEST clean I've ever had, staining gone and teeth feel amazing! Thank you Smilemaker - made me smile :)”
“Smile Maker are highly Professional Team that sets up total confidence in dealing with all matters Dentistry. High calibre Team of Specialists. From Maxine at reception to Debs, Dental Nurse, they...”are very best that Society offers. They are extremely considerate, kind & caring.Most of all I have built a friendship with Hatem Algraffee for many years & without shadow of doubt the Best dentist you can get in the Planet. He is hugely knowledgeable, experienced & gets to the point & prognosis before you can blink your eyes.Right at the Top of his Profession, I feel so honoured that he visits our area to look after people despite practice in Harley Street. Man of his calibre not normally affordable but somehow he's never given you a bill that is of concern. He is worth every penny.I have never met a Professional individual who is so caring, great personality & a family man that sets high standards for himself & his patients.I owe him for prolonging my life through what he has done for me. Healthy Mouth means good overall health. Cannot recommend Hatem highly enough. Thank you Smile-maker! Rousseau”
“I’ve been using Smile Maker Dental Care for many years now, friendly, professional staff and great service. Amir is an absolute perfectionist and superb dentist you are in very safe...”hands in his chair, I honestly wouldn’t let anyone else look after my teeth.Kevin Smith Chislehurst, Kent”
“I am always very pleased with the treatment l receive from Kent Smile studio. All the staff are very friendly and helpful.”
“Another visit to Smilemaker and as usual, excellent treatment. Very welcoming reception and brilliant treatment from the team. Thank you.”
“I have been at this dentist for over 4 years and I honestly never write reviews but they are probably the best dental practice to exist! Dr Amir has transformed...”my smile and I couldn’t feel more confident and happier with the result. He has been so professional, friendly and patient! Hayley has been my hygienist throughout the years and she is just as amazing and does such a exceptional job. Maxine is an absolute delight and always offers the friendliest welcome as soon as you walk through the door.If you are looking for a dentist in Orpington I couldn’t recommend them more and I have tried a few around the area. Thank you as always to the team! :)”
